Il tuo sorriso merita le cure migliori!
Prevenzione ed estetica dentale a Recco ed Avegno in provincia di Genova
Cura, prevenzione e benessere del sorriso
Il Dott. Mauro Misul è specializzato in igiene e prevenzione delle malattie del cavo orale, offrendo trattamenti professionali e soluzioni protesiche sia fisse che mobili. Lo studio garantisce anche un servizio rapido di riparazione protesi in giornata e consulenze tecniche personalizzate. Ogni paziente viene seguito con attenzione, in un ambiente accogliente e professionale, con l’obiettivo di garantire comfort e sicurezza. Lo studio è aperto anche il sabato su appuntamento, per offrire massima flessibilità e rispondere alle esigenze di ogni persona.
Prenota la tua visita
presso la sede di Recco specializzata nella prevenzione, l'igiene e sbiancamento dentale e presso Avegno per la conservativa
tramite WhatsApp o il form. Il tuo sorriso merita attenzione professionale.
Prevenzione ed igiene dentale
La prevenzione è il primo passo per mantenere denti sani nel tempo. Attraverso sedute di igiene professionale e controlli periodici, è possibile prevenire carie, gengiviti e altre patologie del cavo orale. Lo studio pone grande attenzione all’educazione del paziente, fornendo indicazioni pratiche per una corretta igiene quotidiana. Tecnologie e protocolli aggiornati permettono interventi efficaci e delicati su casi di infiammazione gengivale, migliorando la salute orale e riducendo il rischio di problemi connessi.
Un sorriso curato nasce da una prevenzione costante e consapevole: prenota presso lo studio di Recco.
Estetica dentale e sbiancamento
L’estetica del sorriso è fondamentale per sentirsi sicuri in ogni situazione. Lo studio offre trattamenti di sbiancamento dentale professionale, studiati per migliorare il colore dei denti in modo sicuro e duraturo. Grazie a prodotti di qualità e tecniche avanzate, è possibile ottenere risultati visibili già dalle prime sedute. Ogni trattamento viene personalizzato in base alle caratteristiche del paziente, garantendo un effetto naturale e armonioso.
L’obiettivo è valorizzare il sorriso, migliorando l’aspetto estetico senza compromettere la salute dentale: prenota presso lo studio di Recco.
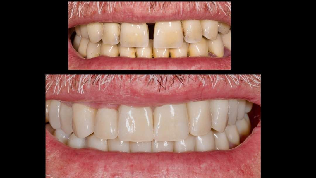
Protesi fisse e mobili
Le protesi dentarie rappresentano una soluzione efficace per ripristinare funzionalità ed estetica del sorriso. Lo studio realizza protesi fisse e mobili su misura, progettate per garantire comfort, stabilità e naturalezza. Vengono utilizzati materiali di alta qualità e tecniche precise per assicurare risultati duraturi. Inoltre, è disponibile un servizio rapido di riparazione protesi in giornata, ideale per risolvere tempestivamente eventuali problematiche.
Ogni intervento è studiato per restituire al paziente sicurezza, benessere e una corretta funzione masticatoria.
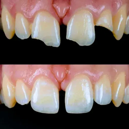
Conservativa
La conservativa si occupa della cura e del recupero dei denti danneggiati da carie o traumi. Attraverso interventi mirati, è possibile preservare la struttura naturale del dente, evitando soluzioni più invasive. Lo studio utilizza materiali estetici e resistenti, che si integrano perfettamente con il dente originale. Ogni trattamento viene eseguito con precisione e attenzione al comfort del paziente, garantendo risultati funzionali ed estetici.
Intervenire tempestivamente consente di mantenere denti sani e prevenire complicazioni più gravi: prenota presso lo studio di Avegno.
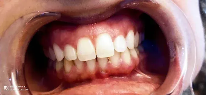
Allineamento dentale
Un corretto allineamento dentale è importante non solo per l’estetica, ma anche per la salute della bocca. Lo studio propone soluzioni efficaci per correggere disallineamenti e migliorare la funzionalità del sorriso. I trattamenti sono personalizzati e studiati per adattarsi alle esigenze di ogni paziente, garantendo risultati graduali e naturali. Un sorriso allineato facilita l’igiene orale e riduce il rischio di problemi gengivali o usura dentale.
Migliorare l’allineamento significa investire nel benessere a lungo termine.
Prenota ora la tua visita
Contatta lo Studio Dentistico Dr. Mauro Misul per prenderti cura del tuo sorriso con trattamenti professionali e personalizzati. Il tuo benessere orale parte da qui.












